header_a
Screenshot 2020-08-28 at 09.31.26
img_a
img_award

For your convenience

Workflow efficiency

 

  • 1) Wireless remote control

  • 2) Simple and easy GUI on Touch Screen

  • 3) No cool-off time between patients

  • 4) Easy wheelchair access

RAY RC
img_people

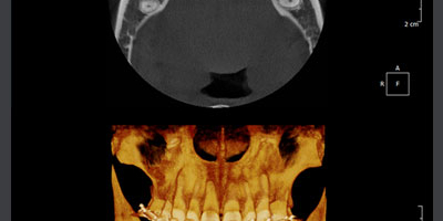
Optimal size of FOV and resolution

100μm @ 10x10cm

img_multi_fov

Various options

2D pano or 3D CT with 3 Ceph options

img_oneshot_ceph
img_scanning_ceph

Impression CT Scan, a new feature for digital impression

Scan your model/impression and Convert the DICOM to STL

obS_04 (1)
obS_06 (1)
Screenshot 2020-08-28 at 09.33.08

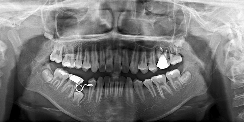
High-definition image quality